2026年03月20日 16:41 | 来源:中新网黑龙江
中新网黑龙江新闻3月20日电(刘璐)近日,哈医大四院心内科四病房曹雪教授与孙丽秀副主任医师,成功完成左室主动固定电极心脏再同步除颤器(CRTD)植入术。这一技术的成功开展,标志着医院在心衰器械治疗领域迈入更精准化、个性化的阶段,为心衰患者带来了更优质、高效的诊疗选择。
47岁的孙先生(化名)近日就诊于哈医大四院,诊断为扩张性心肌病、充血性心力衰竭、心功能IV级(NYHA分级),长期受心衰困扰,日常活动明显受限,经规范的药物治疗后症状仍反复发作,经临床综合评估符合CRTD植入的Ⅰ类适应证。
术中,造影显示患者冠状静脉靶血管直径粗且走行平直,若采用传统被动固定左室电极,不仅难以精准定位起搏靶点,术后电极脱位风险也显著升高,还可能增加术后CRT无应答风险。为追求更优的手术效果、提升患者长期预后,曹雪教授团队决定为患者采用新型左室主动固定四极电极实施CRTD植入术。该新型主动电极配备了侧螺旋固定装置,可以主动旋入血管壁,不仅能突破血管形态限制,精准选择最优起搏靶点,最大化改善心脏再同步化效果,大幅提升患者术后治疗反应率,更显著降低了术中术后电极脱位的风险,为患者长期稳定的疗效提供了坚实保障。

手术由曹雪主任医师和孙丽秀副主任医师实施,团队成员默契配合,术中精准完成冠状静脉造影定位,凭借丰富的介入操作经验,顺利将左室主动电极通过侧螺旋固定模式,精准植入到最优起搏靶血管位置,完成左室电极的植入与固定。经牵拉、推动测试,电极稳定性极佳,起搏阈值、感知、阻抗等各项参数均达理想标准。术后患者心脏电同步性显著改善,无任何手术并发症,各项生命体征平稳,心衰相关症状明显改善。

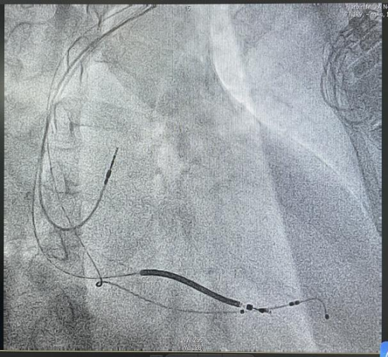
术后影像
一直以来,哈医大四院心内科深耕心血管疾病介入治疗领域多年,在心脏起搏、心律失常射频消融、冠脉复杂病变介入治疗等方面技术实力雄厚。此次首例左室主动电极CRTD植入术的成功,是科室在心力衰竭器械治疗领域的又一重要突破,将生理性起搏技术与左室主动固定电极技术有效结合,既解决了传统CRTD植入中电极固定和靶点选择的痛点,又进一步优化了心室再同步状态,为复杂且危重心衰患者的治疗提供了更精准的“心”方案。
未来,哈医大四院心内科将始终以患者需求为导向,以技术创新为核心,以学科建设为支撑,不断探索心血管疾病诊疗的新路径、新方法,用更精湛的医术、更优质的服务、更前沿的技术,为龙江人民的心血管健康保驾护航。