中国激光医学分会 常委委员中国光学会医学分科学会 常委委员黑龙江省医学会激光专业委员会 主任委员《中国激光医学杂志》常务编委、特邀审稿
中华传染病学会 委员黑龙江省传染病学会 主任委员中华医学会重肝学组 全国委员中国肝病学术促进委员会 全国委员1965年毕业于哈尔滨医科大学医疗系,从事传染病医疗、教学、科研40余年,是我省传染病学科带头人,我省传染病博士点创建者,我省首位传染病博士生导师
中华医学会消化病学分会 委 员中华消化病学分会肝胆病学组 组 员黑龙江省医学会消化病学分会 主任委员《中华消化杂志》 编 委《现代消化及介入诊疗》 编 委《黑龙江医学》 常务编委国家自然科学基金申请项目同行 评议专家黑龙江省卫生厅晋级办公室消化内科专业组 (高职)评委黑龙江省干部保健会诊专家组 成 员哈尔滨市医疗事故技术鉴定委员会内科学科鉴定组 成
中国抗癌协会大肠癌专业委员会副主任委员、黑龙江省抗癌协会大肠癌专业委员会主任委员、黑龙江省普外学会副主任委员、黑龙江省抗癌协会理事 、八种核心期刊的编委1970年毕业于中国医科大学,1980年考取哈尔滨医科大学肿瘤学专业攻读硕士学位,主要研究直肠癌手术治疗理论依据,在国内研究报道了直肠癌淋巴转移规律,以此规律指导扩大根治手术,获得良好成绩,使直肠癌的5年生存率提高了18%(由原来的45%提高到63%);在此基础上...
中华医学会心脏起搏与电生理分会----------------------------------------------学组委员中华医学会心脏介入培训中心-------------------------------------------------------委 员中国医师协会心血管内科医师分会-------------------------------------------------常 委中国生物工程学会心律分会----------------------------------------------------------委 员中国老年预防保健学会心脑血管病学会----------------------...
黑龙江省检验学会 副主任委员哈尔滨市检验学会 副主任委员中国生物化学与分子生物学会临床应用生物化学与分子生物学分会 常务理事卫生部全国临床检验标准委员会临床应用准则专家委员会 委 员中华医院管理学会临床检验管理专业委员会 委 员中华医学会检验分会蛋白质组学专家委员会 委 员中国抗癌协会肿瘤标志物专业委员会 委
1985年毕业于东南大学医学院,先后任职哈尔滨医科大学附属第四医院、附属第二医院(2000-2023年),现任职附属第四医院感染科,曾任副院长、感染科主任20余年。从事各种肝脏疾病及传染性疾病的临床诊疗和研究工作近40年,擅长各种传染病,尤其是慢性乙型肝炎、丙型肝炎的抗病毒等综合治疗以及在肝癌早期诊断方面具有丰富的经验。创建了东北三省第一个乙肝母婴阻断门诊,为数以千计乙肝孕妇成功实施了母婴阻断。在乙肝治愈尤其是...
国家自然科学基金委员会重大科研仪器研制项目 结题验收会在哈医大四院召开 来源:哈尔滨医科大学官网 时间:2024-04-02 日前,国家自然科学基金委员会在哈医大四院组织召...
多核素同步一体化磁共振分子成像系统对外开放共享信息 设备编号:mnsMRI(Akso)- NSFC81627901 设备名称:多核素同步一体化磁共振分子成像系统 适用对象:大鼠及兔等以上体型动物 设备原理...
近日,国家自然科学基金委重大科研仪器研制项目《多核素同步一体化肿瘤分子成像仪器研制》结题预备会在哈尔滨医科大学附属第四医院松北院区召开。哈尔滨医科大学校长季勇、副校长周钦、科研处处长杨力明,国家自然科学基金委员会医学科学部八处副处长彭彧华、医学科学部主任谢晓利,哈尔滨医科大学附属第四医院党委书记郭松、院长刘明、副院长王国年,项目技术考核专家:中国医学科学院阜外医院赵世华教授、中国科学院电工研究...
按照《“龙江学者支持计划”管理办法》(黑教规〔2019〕4号)、《黑龙江省教育厅关于2019年度龙江学者评聘工作的通知》(黑教师函〔2019〕173号)要求,经各高校报名推荐、资格审查、通讯评审和会议评审等程序,我校单宏丽被聘任为“龙江学者”特聘教授,孙夕林、肖云被聘任为“龙江学者”青年学者。来 源:黑龙江省教育厅编 辑:杨丽颖审 稿:郭芮
科研科2022年5月27日
科研科2022年5月27日
8月30日-31日,由国家卫生健康委能力建设和继续教育中心主办、哈尔滨医科大学附属第四医院疼痛科协办的“临床科室超声可视化精准诊疗技能提升培训班”成功举办。本次培训汇聚了来自6个省(市)、107家医院的170余名医疗骨干,涵盖疼痛科、麻醉科、康复科、骨科和重症医学科等13个临床科室,创该系列培训招生人数和规模的新纪录。哈医大四院副院长吴江为大会致辞,他代表医院全体向远道而来的专家学者和医疗同仁表示热烈欢迎。期...
中新网黑龙江新闻8月27日电(刘璐)张大爷(化名)75岁,两月前患上了带状疱疹,自腰部到大腿后侧患有严重带状疱疹,皮疹消退后,疼痛依然存在,皮肤仿佛被持续电击和灼烧,轻轻触碰就会引起剧烈疼痛。频繁的剧痛让他夜不能寐,坐立不安。尝试了各种口服和外敷药物、针灸、拔罐、封闭等方法,通通无效。辗转问诊后,张大爷慕名来到哈医大四院疼痛科。面对这一棘手病例,周华成主任带领团队对其进行了全面细致的评估。结合患者疼痛的...
哈医大四院心脏预防与康复中心:科学减肥解锁健康“心”生活 2025年08月14日 16:05 | 来源:中新网黑龙江 中新网黑龙江新闻8月14日电(刘璐)减肥过程中,人们总是会有以下疑问:“为什么我很努力...
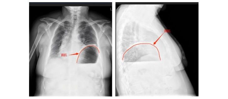
中新网黑龙江新闻7月29日电(记者 刘锡菊)近日,哈医大四院普外科二病房翟博教授收治了1例极为罕见的病例。64岁的马女士(化名)常年被打嗝、反酸烧心困扰,近几年尤为严重,且出现了严重的呼吸困难和喘憋症状。医生追问病史了解到,马女士自2000年开始出现胃胀、打嗝等情况,最严重时候连饭都吃不进去,现在出现了呼吸困难的症状,连正常活动都成了困难,严重影响了马女士的日常生活和生命安全。经多方辗转问诊,马女士找到哈医大...
总 机:0451-82576999
医务部:82576516 24小时咨询电话:82576777 82576888 82576999
门诊导诊:82576617 门诊部办公室:82576607
松北院区门诊:85716262 85716222
松北院区急诊:85716333
微信服务号
抖音号
微信订阅号