医风办投诉电话:85939806 收受“红包”信访电话:85939838 13104076282

“肿眼泡”里全是脓

哈医大四院耳鼻咽喉头颈外科:用力擤鼻当心“眼耳中招”

来源:哈尔滨医科大学附属第四医院

近日,哈医大四院耳鼻咽喉头颈外科周彬教授,行鼻内镜下鼻窦开放手术为南南(化名)解开了“肿眼泡”的谜团。

两周前,18岁的南南同学感冒后出现了流黄涕的症状,自觉鼻涕有臭味,伴有头痛症状,自行口服抗生素不见缓解。一周前擤鼻后自觉左眼部疼痛,继之出现眼睑肿胀,伴有眼球活动受限,于多家医院眼科就诊,均告知继续应用抗生素治疗,于是来到哈医大四院耳鼻喉门诊就诊,此时南南的左眼已肿得无法睁开,眼球感觉像要“胀”出来一样。

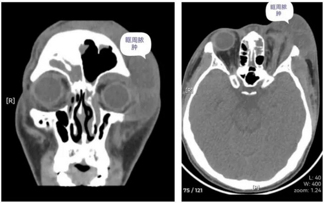
周彬教授在门诊详细询问南南发病经过并行鼻窦CT检查,发现南南的“肿眼泡”很可能是感冒后急性鼻窦炎引起的眶周及眶内感染。为其办理入院后进一步行眼眶磁共振检查,明确额部及左眼眶脓腔部位,予以穿刺抽出脓液超过40ml,南南眼球“胀”出来的感觉减轻了许多。

经过周密的术前准备,周彬教授为南南施行鼻内镜下左侧额窦及筛窦开放术,术中见大量脓液经额筛窦口引出,全麻清醒回病房后家属发现南南的“肿眼泡”不见了,眼睛也能睁开了,整个病房都跟着开心,没想到手术效果这么快这么好,原打算要经眉弓的切口也不用切了。

周彬教授介绍道:鼻窦炎是耳鼻喉科的常见病和多发病,冬季气温整体偏低,室内外温差较大,是流感的高发期,上呼吸道感染很容易并发急性鼻窦炎,不当的擤鼻方式可能造成感染向中耳内、眶内甚至颅内扩散。详细询问病史及适当的专科检查有助于明确病变原因及发病部位,尽早行功能性鼻窦内窥镜手术,通畅鼻窦引流,才能达到快速治愈,避免复发的目的。

联系我们

总 机:0451-82576999

医务部:82576516 24小时咨询电话:82576777 82576888 82576999

门诊导诊:82576617 门诊部办公室:82576607

松北院区门诊:85716262 85716222

松北院区急诊:85716333

微信服务号

抖音号

微信订阅号