近日,哈医大四院普外科二病房(胃胰脾外科)成功救治一名胰体尾巨大肿瘤患者,患者术前影像提示胰体尾占位,侵及邻近胃、十二指肠、结肠、脾及左侧肾上腺,病情复杂,手术难度大,施行了根治性胰体尾切除联合多脏器切除手术,患者目前术后恢复良好,已于近日出院。
年过六旬的赵大娘(化名)近一月以来间断性出现左下腹疼痛,每次发作呈刺痛,伴食欲减退,排便困难,症状持续加重,门诊查CT回报:左上腹结肠占位性病变,考虑恶性,左肾上腺占位,考虑转移瘤可能(径线34mm*17mm),胃肠镜检查提示:“结肠肿物,结肠黏膜隆起”。赵女士家属拿到检查报告后心急如焚,经多方打听后,赵大娘来到了胃胰脾外科,希望得到救治。翟博教授经评估了患者影像资料后,考虑患者为胰腺体尾部的恶性肿瘤,并累及周围脏器。入院后的增强CT证实了上述诊断。

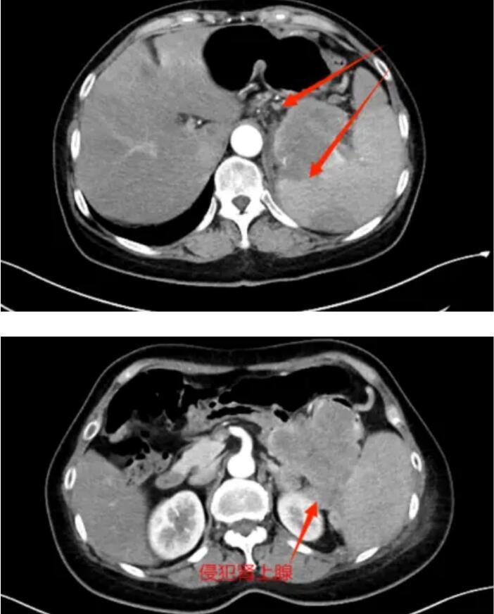
肿瘤侵犯脾及结肠、肾上腺

肿瘤侵犯结肠,肠管受压,造成患者排气排便困难
由于患者瘤体巨大,侵及周围脾、肾上腺、结肠、胃、十二指肠等多个脏器器官,手术难度极高,翟博教授随即请科室主任谭刚教授会诊,基于对患者病情分析及为降低手术风险,完善胰腺三维成像,得以精准定位肿瘤位置及周围血管分布,精准规划手术流程。

谭刚教授仔细研究了赵大娘的病情,认为肿瘤虽然涉及多个脏器,但尚未发生远处转移,为挽救患者生命,谭刚教授毅然决定开腹探查,以期为患者争取最后的治疗机会,经过周密的术前准备,赵大娘躺到了手术台上。术中探查可见胰体尾肿物,累及脾门、侵及结肠脾曲,脾动静脉、胃底及十二指肠,在谭刚教授、翟博教授两位主任的精密合作下,经过3个多小时的艰苦奋战,为赵大娘施行了“根治性胰体尾切除、脾切除、结肠脾曲切除、胃十二指肠修补术,左侧肾上腺切除”的多器官联合切除,患者术后顺利返回病房。目前患者恢复非常顺利,已康复出院。出院时,赵大娘家属激动地表示:“真的没想到这么大的肿瘤还有根治的希望,在切除了这么多器官后,术后还恢复得这么快,感谢普外二团队给了我老伴第二次生命!”。

切除病理标本
谭刚主任介绍:胰腺癌号称“癌症之王”,主要因为它缺少明显的临床症状,容易被误诊和延误诊断,很多患者在发现胰尾癌时已经是晚期,没有手术机会了,治疗效果很差。日常生活中,若身体出现腹痛、腹胀、便秘、恶心呕吐或者突然消瘦、失眠、抑郁等症状,应及早就医体检,及早诊断是否胰腺问题。要想保持胰腺健康,平时要多注意饮食,尽量少吃过于油腻、辛辣的食物,多食果蔬,保持良好情绪,避免胰腺负担加重,减少胰腺疾病发作。
哈医大四院普外科二病房(胃胰脾)医疗团队,始终坚持以患者为中心,为患者提供最佳治疗方案及更加优质的医疗服务。普外科二病房各医疗组及护理团队始终致力于医疗技术的创新与突破,以精湛的医疗技术、高质量的医疗服务,为保护患者的身体健康不断努力,不断学习,迎难而上。
地址:哈医大四院外科楼11楼B区(普通外科二病房 胃胰脾外科)
专家简介

谭 刚
主任医师、教授
医学博士、博士后、博士研究生导师
哈医大四院普外科二病房主任
学术兼职:
黑龙江省医师协会胰腺分会副主任委员
黑龙江省医学会经肛门内镜微创手术(TEM)专业委员会副主任委员
黑龙江省医学会普通外科分会委员
黑龙江省医学会肝胆外科分会委员
中国研究型医院学会委员
黑龙江省医学会机器人分会甲状腺学组组员
专业擅长:
从事普外科工作20余年,对普外科常见病、急重症诊治具有丰富的临床实践经验,对肝癌、肝门部胆管癌、胰腺癌等复杂疾病的治疗已达国际先进水平,能熟练完成胰头癌扩大根治术、胰十二指肠切除术、保留脾脏的胰体尾切除术、肝脏半叶切除等普外科大手术,并取得良好的效果。擅长胃肠外科、门静脉高压症外科、肝脏胰腺胆道外科疾病的诊治,在使用腹腔镜治疗胆道疾病,消化道疾病方面有很深造诣。
出诊时间:每周一全天出诊
科室电话:0451-85939741