中新网黑龙江新闻4月11日电(刘璐)近年来,随着手术设备和手术技术的发展提高,距肛门5cm以下的直肠癌不能保留肛门的“魔咒”已被打破。括约肌间切除术(ISR)是低位直肠癌的一种极限保肛手术,可分为部分ISR、次全ISR、完全ISR,完全经腹入路国内仅少数大型结直肠外科医疗中心有所开展。
近日,哈医大四院普外科一病房(胃、结直肠外科)陈洪生教授团队熟练掌握此项技术,顺利完成了两例完全经腹入路腹腔镜直肠括约肌间切除术,用微创手段为两位八旬老人既切除了直肠的恶性肿瘤,又极限地保留了肛门和肛门的功能。经过1周余的精细化围手术期管理,两位老人术后恢复良好,没有出现吻合口瘘,肛门的功能也保留完好。
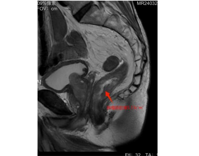
今年84岁的陈奶奶(化名)在两周前因“排便次数增多且伴有暗红色血液”来到哈医大四院胃结直肠外科门诊,找到了陈洪生教授就诊。通过丰富的经验结合肛门指检,陈洪生教授准确地识别出老人家可能患有直肠的肿瘤且位置很低。入院后,通过肠镜及直肠核磁评估,诊断为低位直肠癌,肿瘤距肛缘5cm,评估pT3N1M0。
综合评估患者的病史、查体及相关检查,常规的低位直肠前切除术(LAR)无法取得足够的肿瘤下切缘,肛门保留的希望十分渺茫。Miles手术,也就是联合切除肛门的直肠癌根治术,似乎成了唯一的选择。ISR手术作为一种低位直肠癌极限保肛术式,可以多获得1-2cm的远切缘,但完全经腹入路的手术难度也很高。
陈洪生教授凭借精湛的手术技巧和耐心细致的操作,在团队宝赛吉日呼主治医师、王中瑞住院医师的配合下,顺利通过腹腔镜完全经腹入路,自肠系膜下动脉左侧Toldt’s间隙-直肠后间隙-肛提肌上间隙,一直将直肠游离至直肠系膜终点,游离至肛提肌平面、括约肌间沟,将肿瘤提拉出肛提肌裂孔,从而获得了充足的下切缘,在保证肿瘤根治的基础上,顺利保住了肛门,同时保留了腹下神经和盆丛神经,最大程度保证术后肛门功能和排尿功能的恢复。手术层面十分清晰,观察肠管的血运良好,吻合确切。考虑到高龄患者日后再次进行手术和麻醉的风险,并没有进行保护性造口,而是留置了肛门减压管。在围手术期个体化、精细化管理下,术后第二日正常饮水,术后第五日开始进流食,在正常排便后逐步撤离了肛管和盆腔引流管,患者术后恢复良好,没有出现吻合口瘘,肛门的功能也保留完好。


81岁的周老(化名)因间断便血,肠镜检查发现直肠恶性肿瘤,肠镜及直肠核磁评估肿瘤距肛缘5cm,肿瘤的位置同样很低,患者及家属为求保肛手术治疗,慕名找到陈洪生教授。通过细致的术前评估和术前准备,在克服了男性骨盆狭窄等不利条件下,经过艰苦的努力,陈洪生教授团队再次成功实施了“腹腔镜完全经腹入路直肠括约肌间切除术(ISR)”,既切除了直肠的恶性肿瘤,又极限地保留了肛门和肛门的功能。


陈洪生教授介绍道:低位直肠癌通常定义为肿瘤距肛缘5cm内或距齿状线2cm以上的直肠下1/3。低位直肠癌保肛治疗是在无永久性造口的情况下,既保证最佳的肿瘤学效果,又保证最佳的功能效果。这种双重目标对于位置很低的直肠肿瘤尤其困难,因为其靠近肛门括约肌。低位直肠癌患者接受经腹会阴联合直肠切除术(Miles)的治疗,可确保远端和外侧边界安全,但由于切除肛门给患者身心都会带来巨大的损伤,所以很多患者即使冒着术后排便功能受损、排尿功能受损、性功能下降等风险,也要选择保肛手术,低位直肠癌的保肛治疗对于患者术后身心的恢复具有重大的意义。ISR最早是由Braun等于1992年提出,1994年Schiessel等报道了他们在ISR方面的初步经验,这项技术被用于扩大极低直肠癌保肛的机会。这种手术方式选择性地切除直肠内括约肌而保留直肠外括约肌,而且保留了直肠相关的功能组织,使术后患者肛门功能得以保存。而根据游离括约肌间隙方式的不同,又可分为三种入路,即完全经腹入路、经腹经肛混合入路及完全经肛入路。近年来,随着腹腔镜微创理念的深入、手术器械的发展和操作熟练度的提高,使得完全经腹入路的腹腔镜ISR手术成为可能,术后6-12个月ISR患者的肠功能基本恢复至术前水平,从肿瘤治愈率和术后远期肛门直肠功能来看,ISR是一种治疗低位直肠癌可行的手术方式。

陈洪生教授提醒广大患者:结直肠癌的预后与“三早”(早发现、早诊断、早治疗)密切相关,早期结直肠癌5年生存率可达90%以上,而晚期的5年生存率不足10%。近年来大肠癌的发病年轻化日益严重,全球大多数指南建议,普通人群应该在50岁以后开始筛查,尤其是高危人群。
有以下6种情况之一可作为高危个体:
①有消化道症状,如便血、黏液便及腹痛者;不明原因贫血/体重下降;
②曾有大肠癌病史者;
③曾有大肠癌癌前疾病者(如大肠腺瘤、溃疡性结肠炎、克罗恩病、血吸虫病等);
④大肠癌家族史的直系亲属;
⑤有大肠息肉家族史的直系亲属;
⑥有盆腔放疗史者。
疾病的预防优于治疗,当疾病已然发生,早发现、早诊治、早治疗,治疗的痛苦和费用都会大大减少;当疾病进展或晚期,比如胃肠道恶性肿瘤,也不要轻易放弃生活的希望,现在医疗技术的飞速发展,为恶性肿瘤的治疗提供了诸多有效手段,包括化疗、靶向治疗、免疫治疗、介入治疗等,形成以手术治疗为主的综合治疗。
哈医大四院胃、结直肠外科(普外科一病房)在胃、结直肠肿瘤的治疗中积累了丰富的经验,底蕴深厚。无论面对多发病还是罕见病,都有着充分的诊断和治疗经验,能够熟练开展胃、结直肠恶性肿瘤的机器人、腹腔镜标准化切除和淋巴结清扫,哈医大四院普外科以迎难而上、勇攀巅峰的精神,竭诚为广大患者的生命健康保驾护航。
专家简介

哈医大四院普外科一病房主任
普外科党支部书记
主任医师、教授
医学博士、博士研究生导师
出诊时间:
线下每周一出诊
学术兼职:
中国医药教育协会腹部肿瘤专业委员会常委
中国抗癌协会大肠癌专业委员会委员
中国医师协会肛肠外科分会青年委员
中国医师协会结直肠肿瘤专业委员会青年委员
中国医师协会结直肠肿瘤专业委员会NOSES委员会委员
中国NOSES联盟黑龙江分会副理事长
黑龙江省医学会肛肠外科分会主任委员
黑龙江省医师协会肛肠外科分会副主任委员
黑龙江省医促会结直肠肿瘤专业委员会副主任委员
黑龙江省医学会普通外科分会委员
黑龙江省医学会机器人与人工智能分会委员黑龙江省医学会甲状腺肿瘤专业委员会委员
黑龙江省医学会甲状腺外科分会委员
黑龙江省抗癌协会头颈肿瘤专业委员会委员黑龙江省医疗保健国际交流促进会甲状腺甲状旁腺疾病分会委员
专业擅长:
从事普外科疾病的诊断及治疗工作20余年,擅长胃癌、大肠癌、乳腺癌及甲状腺癌的根治手术及综合治疗。腹腔镜微创手术治疗胃、结直肠恶性肿瘤、甲状腺良恶性肿瘤、胆囊结石、胆囊炎、腹股沟疝、切口疝、造口旁疝。在省内较早开展达·芬奇机器人普外科手术。先后获得中国抗癌协会科技奖三等奖1项,黑龙江省政府科技进步奖二等奖3项。主持黑龙江省自然科学基金面上项目1项。腹腔镜右半结肠癌根治术荣获2019年黑龙江省医学会结直肠分会手术视频大赛第一名;荧光腹腔镜右半结肠癌根治术荣获2019年中华结直肠电子杂志手术视频大赛金刀奖(第一名);TAPP手术荣获2019年中华疝和腹壁外科在线教育学院腹腔镜疝修补手术视频大赛全国总决赛十强优胜奖;腹腔镜乙状结肠癌NOSES手术荣获2020国际NOSES经典手术视频大赛北中国赛区银奖,进入全国12强;腹腔镜双镜联合结肠癌NOSESIV式手术荣获2023国际NOSES经典手术视频大赛东北赛区一等奖。
第一作者发表SCI收录论文5篇,副主编参编卫生部视听教材一部,参编2018版中国恶性肿瘤营养治疗通路专家共识,参编2020版中国结直肠癌筛查与早诊早治指南。