医风办投诉电话:85939806 收受“红包”信访电话:85939838 13104076282

肝“八”留“一” 精准切除

哈医大四院肿瘤外科肝胆外科成功实施肝脏次全切除术

来源:极光新闻

近日,哈医大四院肿瘤外科肝胆外科徐力善教授团队成功为一肝内胆管结石患者实施了肝脏次全切除术。

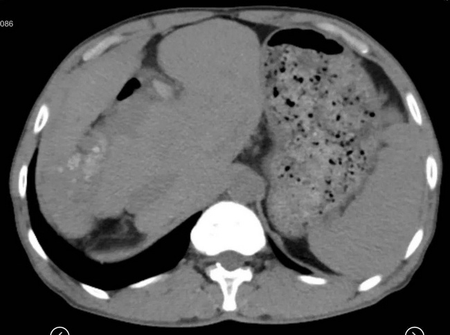
家住外地的王先生(化名)因反复发作腹痛、发热曾辗转于多家医院进行多次治疗,症状依然不见缓解。近日来哈医大四院就诊,影像学检查提示患者肝左叶及肝右叶内多发结石,伴相应胆管扩张,肝外胆管扩张,肝左、右叶(Ⅱ-Ⅷ段)萎缩,尾状叶(Ⅰ段)脉管结构正常,并明显代偿性增生,患者肝功能正常,诊断肝内胆管结石,肝脏萎缩增生综合征,肝外胆管扩张症,胆囊结石,胆囊炎。经过完善的术前评估及充分的术前准备,徐力善教授和杨冬冬教授成功为患者实施了肝脏次全切除(切除肝脏Ⅱ-Ⅷ段,仅保留Ⅰ段),肝外胆管切除,胆肠吻合术,现患者恢复良好。

正常人肝脏分为8个段,切除任何7个段都会导致患者残肝体积不足,患者无法存活。但该病人因疾病导致肝脏左右叶明显萎缩,尾状叶明显增生,代偿了其他肝段的肝脏功能,使仅保留1个肝段(尾状叶)成为可能。该手术难度极大,技术要求极高:需要完整切除病变的肝脏组织及全部肝外胆管,否则容易出现疾病复发甚至病变胆管癌变;此外,还必须保留尾状叶的所有脉管结构,否则将导致残肝血供不足或胆汁引流不畅,引起肝衰竭。

肝脏次全切除为董家鸿院士在世界首创,被欧洲外科协会主席Bismuth教授称为“世界肝胆外科的一个创举”,因其技术复杂,风险高,目前仅在301医院及西南医院等为数不多的几个大的肝胆中心开展。该手术的成功实施,标志着哈医大四院肿瘤外科肝胆外科对肝胆疾病的诊疗更进一步。科室熟练掌握各种肝胆疾病的规范化诊治,手术技术精湛。科室将在徐力善教授的带领下,继续发扬黄志强院士提出的“开别人开不了的刀,做别人做不了的手术”的精神,勇攀技术高峰,精进技艺、全力以赴,努力提高为人民服务的本领,一如既往地服务龙江百姓。

专家简介

徐力善 主任医师 教授

医学博士 博士后 博士生导师

肿瘤外科肝胆外科主任 龙江名医

专业擅长:

中国人民解放军总医院(301医院)肝胆外科专业博士毕业。擅长肝胆胰脾疾病的诊治,尤其在肝癌的规范化治疗,多手段治疗;精准肝切除;肝门部胆管癌根治术;肝血管瘤切除术;脾切除,贲门周围血管离断术;胰十二指肠切除术等方面颇有造诣,擅长腹腔镜下规则半肝切除,肝段切除,肝癌切除,胆管癌根治,联合胆道镜胆总管切开取石,肝血管瘤切除等微创操作。

在省内率先开展带血管蒂胃瓣修补胆管狭窄胆道重建术。2014年5月完成了东北三省第一例联合肝脏离断和门静脉结扎的二步肝切除术(ALPPS),填补了省内空白。2016年7月再次完成东北三省第一例腹腔镜下ALPPS手术,2021年6月完成了东北三省首例“离体肝切除+自体肝移植”手术,标志着肝胆外科技术已达到国内先进水平。率先完成黑龙江省内普通外科领域机器人手术100例,并获得黑龙江省机器人手术卓越贡献奖。

主持黑龙江省自然科学基金1项,获黑龙江省卫生科技进步三等奖1项,获黑龙江省医药卫生科学技术二等奖4项,获黑龙江省医疗卫生新技术应用一等奖1项,二等奖2项,获哈尔滨医科大学新技术成果奖6项,获黑龙江省博士后资助基金2项 ,发表国家级核心期刊学木论文20余篇,发表SC论文8篇。

学术兼职:

中国抗癌协会肿瘤胰腺病专业委员会副主任委员

中国抗癌协会胰腺专业委员会委员

黑龙江省医师协会副会长

黑龙江省医师协会肝胆专业委员会主任委员

黑龙江省医学会医用机器人分会肝胆胰外科学组主任委员

黑龙江省医学会普外分会副主任委员

黑龙江省医学会腹腔镜外科分会副主任委员

黑龙江省医学会肝胆外科分会副主任委员

黑龙江省医学会肝胆胰肿瘤分会副主任委员

黑龙江省抗癌协会肝脏肿瘤专业委员会副主任委员

黑龙江省抗癌协会胆道肿瘤专业委员会副主任委员

黑龙江省医学会腹腔镜外科分会 肝胆胰学组副组长

黑龙江省医学会日间手术专业委员会副主任委员

黑龙江省医学会结直肠癌分会委员

黑龙江省医学会肝脏疾病分会委员

黑龙江省医学会疝与腹壁外科学组委员

黑龙江省抗癌协会胰腺癌专业委员会委员

联系我们

总 机:0451-82576999

医务部:82576516 24小时咨询电话:82576777 82576888 82576999

门诊导诊:82576617 门诊部办公室:82576607

松北院区门诊:85716262 85716222

松北院区急诊:85716333

微信服务号

抖音号

微信订阅号