近日哈医大四院心内科再次迎来了心血管介入治疗的新技术——Shockwave血管内冲击波(俗称:振波球囊)。心内科杨巍主任团队采用该技术治疗复杂钙化病变,成为全国较早开展此项技术的医院之一,标志着哈医大四院心内科在钙化病变介入治疗进入新阶段。
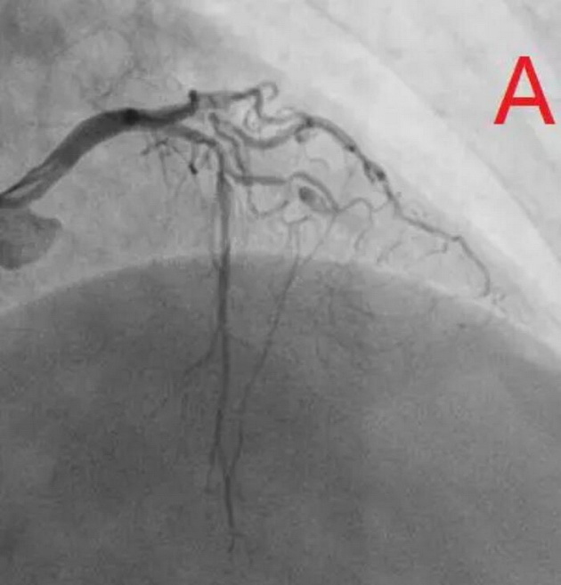
患者为77岁女性,因冠心病进行冠状动脉介入治疗,造影发现冠状动脉前降支不仅闭塞(图A),而且伴有钙化。通过不懈的努力,将闭塞的血管打开,但钙化处球囊无法将病变充分扩张(图B),意味着无法通过植入支架来维持血管管腔。于是采用血管内超声对病变处进行检测,显示病变处存在严重的360度环形钙化(图C、D)。




通过对该病变的分析,杨巍主任决定采用“振波球囊”对病变进行预处理。将振波球囊送至环形钙化处并启动4次,随后再次使用预扩球囊对病变处进行扩张,显示可以充分扩张(图E),继续IVUS检查,证实钙化斑块已经裂开(图F)。


对冠状动脉造影及IVUS图像进行综合判断,目前已经具备安全进行冠状动脉支架治疗的条件,于是在病变处植入支架治疗,随后在IVUS指导下采用后扩球囊改善贴壁情况,顺利完成手术(图G、H)。


杨巍主任介绍,血管内冲击波技术针对的是血管钙化病变。最新发布的《冠状动脉钙化病变诊治中国专家共识(2021版)》显示,冠状动脉钙化随年龄增加而增加,在40-49岁人群中的发生率约为50%,在60-69岁人群中的发生率约为80%。冠状动脉内膜的严重钙化通常会导致血管管腔变形明显,多呈严重的偏心性狭窄。介入治疗过程中导丝、球囊常常难以通过,即便通过后球囊无法充分扩张,强行扩张球囊反而导致血管严重撕裂,甚至心包填塞。而支架更难以通过此种病变,出现支架脱载,支架无法完全膨胀,引起支架内血栓、再狭窄。以往采用的冠状动脉钙化斑块旋磨术,则仅可处理血管内膜的浅层钙化,对中膜钙化、钙化结节或重度钙化“束手无策”,需要与其他器械配合使用。另一方面,该器械操作相对复杂,学习曲线长,且术后并发症发生率较高。振波球囊在血管钙化病变的治疗中,可形成80个大气压的冲击力,对钙化病变产生剪切应力,使血管壁内膜和中膜下的钙化病变碎裂松软,从而达到钙化斑块修饰,扩大管腔面积效果,为后续的支架植入和充分扩张提供条件。Shockwave发布的临床试验数据显示,其安全性高、心血管主要不良事件发生率低,无穿孔、远端栓塞、急性闭塞等严重并发症;有效性好,手术成功率高、术后管腔即刻获得高、管腔残余狭窄率低、支架扩张良好。

哈医大四院心内科全面应用高新科学技术,通过多种腔内影像学技术深入评估,采取专业的个体化治疗策略,为患者提供优质医疗守护。心内科将不断创新,以精准安全、优质高效作为团队宗旨,勇于担负守卫心血管健康的神圣使命。