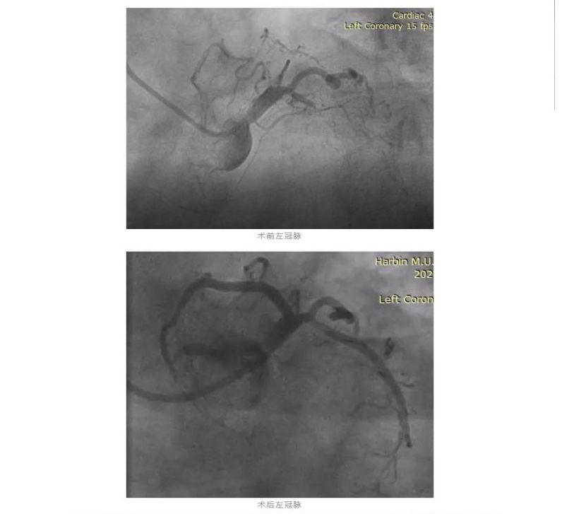
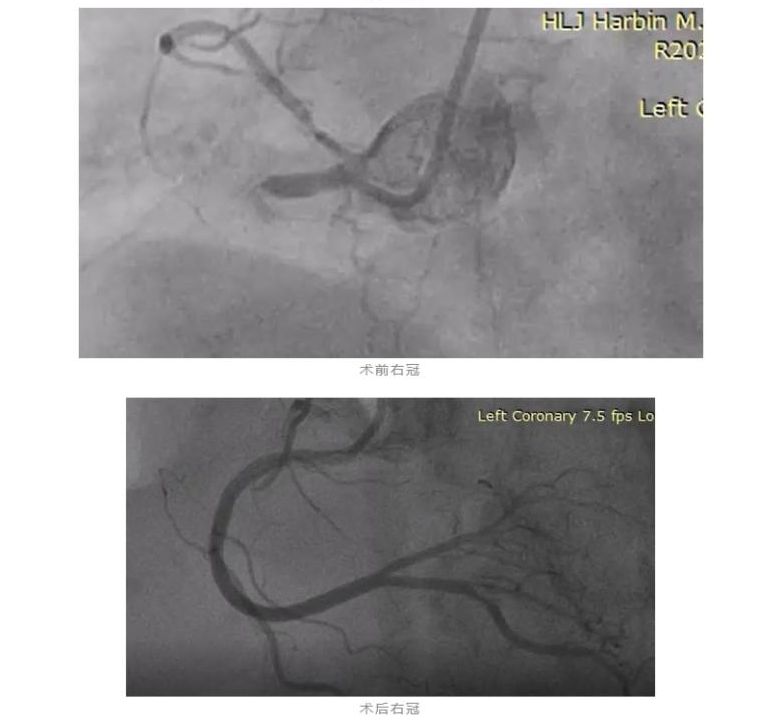
中新网黑龙江新闻11月12日电(刘璐)近日,哈医大四院心内三病房张明宇主任团队成功为一位78岁急性心肌梗死患者在急诊中成功开通三支完全闭塞的血管。
这位患者的三支血管出现完全闭塞是非常罕见的情况,意味着心脏的供血通道几乎被切断,心脏无法获取所需的氧气和营养。这种情况下,心脏的泵血功能会受到严重影响,随时可能导致心脏骤停,病人往往很难存活。该患者既往已经有两根血管是慢性闭塞,现在仅存的一根血管在原来严重病变的基础上也出现了急性闭塞,病人高龄、症状重,已经出现低血压休克和心力衰竭症状,而且闭塞的病变解剖复杂,因此,迅速而有效的医疗介入开通闭塞的血管成为了挽救生命的关键。但治疗难度极大,冠状动脉慢性完全闭塞病变本身就是是冠状动脉介入治疗领域最具挑战性的病变,每开通一根完全闭塞病变都需要医生高超的技术和坚韧的精神毅力,这位老人三支血管完全闭塞,更需要医生们高超的医技水平和具备丰富的临床经验。
经过评估和准备,医生们先是快速地成功为这位老人开通了一支刚刚闭塞的血管,为患者打开了“生命之门”,使病人的血压能够维持,随后又迅速开通了第二支慢性完全闭塞的病变,心脏得到了血运供应后,老人生命体征逐渐平稳,后续成功开通的第三根慢性闭塞的病变血管,达到了完全的血运重建。


张明宇主任介绍道,随着年龄的增长,心血管疾病的风险也逐渐增加,尤其是急性心肌梗死这种病症,往往发生得突然,让人措手不及。心肌梗死是由于心脏供血不足,导致心肌细胞缺氧而坏死的疾病。其主要原因通常是动脉粥样硬化,也就是血管内壁形成斑块,导致血管狭窄,甚至完全堵塞。当心脏供血的血管发生严重堵塞时,及时开通血管至关重要。
虽然医学技术的发展使得心血管疾病的治疗取得了显著成效,但预防仍然是最重要的。以下是一些有效的预防措施:
健康饮食:均衡饮食是维护心血管健康的基石。建议多吃富含纤维的食物,如全谷物、果蔬和豆类;减少饱和脂肪和糖的摄入,选择健康的脂肪来源,如鱼类、坚果和植物油。
适量运动:规律的身体活动可以帮助改善心血管健康。建议每周至少150分钟的中等强度有氧运动,比如快走、游泳或骑自行车。对于老年人,选择适合自身状况的低冲击运动,如太极或瑜伽,也能有效增强心肺功能。
控制体重:肥胖是心血管疾病的重要风险因素。通过健康饮食和定期运动,保持理想体重,有助于降低高血压、高血糖和高胆固醇的发生率。
戒烟限酒:吸烟与饮酒过量是导致心血管疾病的主要原因之一。戒烟不仅能显著降低心脏病的风险,还能改善整体健康状况。饮酒应适量,建议女性每日不超过一杯,男性不超过两杯。
定期体检:定期进行健康检查,监测血压、血糖和血脂水平,及时发现和管理潜在的健康问题,是预防心血管疾病的重要措施。
心血管疾病的威胁不容忽视,特别是在老年人群体中。然而,科学的医疗技术和积极的生活方式可以有效地降低这一风险。通过了解心肌梗死的发生机制、及时的医疗干预以及生活细节的改变,能够为自己的健康保驾护航。希望大家都能重视心血管健康,积极采取措施,迎接更加美好的未来。健康的生活,从现在开始!
专家简介

张明宇
心内三病房主任
主任医师 教授
博士 博士后
博士研究生导师
学术地位:
黑龙江省动脉硬化疾病预防与控制专业委员会副主任委员
黑龙江省老年医学学会心血管病专业委员会副主任委员
黑龙江省老年学和老年医学学会专业委员会副主任委员
卫生部冠心病介入诊疗培训基地导师
中国医师协会腔内治疗血管专业委员会委员
中国医疗保健国际交流促进会胸痛分会委员
中国医学装备协会心血管装备技术专业委员会委员
中国老年保健协会心血管疾病预防和康复专业委员会委员
中国民族卫生协会培训部特邀专家
中国东北TAVR联盟委员
黑龙江省心血管内科专业委员会委员
中国现代医生杂志特约编委
业务专长:
擅长复杂冠心病介入治疗,主动脉夹层、心脏瓣膜病和先天性心脏病介入治疗。擅长心内科疑难疾病和急危重症的诊疗。在美国克利夫兰心脏中心接受心脏瓣膜介入治疗培训,在以色列接受冠心病介入治疗培训。主持多项黑龙江省科技攻关项目,黑龙江省自然科学基金,黑龙江省教育厅、卫生厅等基金项目,获得黑龙江省科学技术进步奖二等奖,黑龙江省卫生系统科技进步奖一等奖和黑龙江省医疗卫生新技术应用奖一、二等奖多项。主编著作一部,参编专家共识1篇,第一作者发表学术论文四十余篇,SCI收录论文10篇,获得国家级发明专 利一项。