中新网黑龙江新闻4月9日电(刘璐)近日,哈医大四院松北院区骨科手术室内,一场持续数小时的紧张手术悄然结束。当吴立文副主任宣布“手术成功”时,在场的医护人员无不长舒一口气。这场手术的对象是一名年仅5岁、因遗传性骨软骨瘤病导致前臂严重畸形的患儿。这不仅是一场技术与生命的博弈,更是一段关于医者仁心与患儿未来的故事。
疾病挑战:遗传性骨软骨瘤病的阴影
遗传性骨软骨瘤病(Hereditary Multiple Osteochondromas, HMO)是一种罕见的常染色体显性遗传疾病,以骨骼表面多发性骨软骨瘤形成为特征。该病若累及前臂,可导致桡骨或尺骨畸形,进而影响关节功能、肢体长度,甚至压迫神经血管。患儿小马(化名)的病情正是如此——其左前臂严重畸形,若不及时干预,未来可能面临肢体功能障碍、骨骼发育停滞等严重后果。

前臂畸形
吴立文医生在接诊后指出:“儿童骨骼系统处于快速发育阶段,任何畸形都可能被放大。尤其是前臂的复杂结构涉及骨骼、韧带及神经,手术需在矫正畸形的同时保护骨骺,这对术者的解剖学功底和手术精度要求极高。”

软骨瘤形成,尺骨短缩,桡骨头脱位
辗转求医:家庭的希望与抉择
据患儿的父母回忆,孩子出生后不久即被发现肢体异常,但因年幼未引起重视。随着年龄增长,前臂畸形日益明显。他们辗转求医,但因手术风险高、技术难度大,当地医院建议保守观察。然而,保守治疗无法阻止病情恶化,最终来到哈医大四院松北院区骨科吴立文医生团队处寻求帮助。
精准施策:多学科协作下的个体化方案
面对这一复杂病例,吴立文医生团队在术前进行了详细的评估和规划。他们通过先进的影像学检查技术,精确测量了患儿前臂骨骼的长度、角度和畸形程度,制定了个性化的手术方案。手术中,团队采用了先进的骨科技术和设备--尺骨截骨+外固定环架技术。这种外固定技术具有良好的力学稳定性,能够同时纠正多平面的复杂畸形,同时避免了传统手术中可能出现的血管、神经损伤等风险。在手术过程中,团队成员各司其职,紧密配合,确保了手术的顺利进行。

术前设计环架的大小与位置
手术难点聚焦:
解剖结构复杂:前臂神经血管密集,术中需避免损伤正中神经、尺神经及桡动脉;
骨骺保护:截骨位置紧邻生长板,操作偏差可能导致骨骼发育停滞;
术后稳定性:儿童骨骼柔韧性高,外固定需兼顾强度与可调整性。
技术突破:微创与导航赋能精准医疗
为降低手术创伤,团队采用微创的方式,结合术中透视系统,牢牢把控截骨的位置及固定的角度。吴立文医生指出:“这是患儿的第一次手术,我们这次先将环形架子固定好,并将下段尺骨与桡骨锁定,这样在做尺骨延长以后会将桡骨头向下复位;待桡骨头复位满意后,将下段尺桡骨解锁,上段尺桡骨固定,这样继续延长尺骨将尺骨延长至正常水平,架子就可以取出来了。”

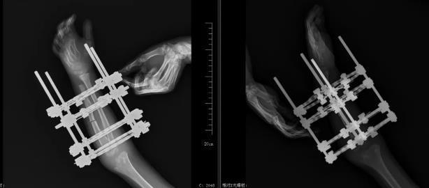
手术成功完成,外固定满意
术后康复:身心并重的全程关怀
术后,小马安稳转入病房,由吴立文医疗团队与于聪护理团队共同制定康复计划。针对患儿术后疼痛、功能锻炼及心理疏导,团队引入游戏化康复训练,玩具奖励等方式缓解孩子的焦虑情绪。吴立文医生每日查房时,总会蹲下身与小马击掌鼓励:“你是小勇士,很快就能用手画画了!”这种充满温度的治疗方式,不仅加速了患儿的身体恢复,更重塑了患儿家庭对未来生活的希望。

术后X线:尺骨已截骨,外固定牢固
小马的故事,是哈医大四院松北院区骨科无数成功案例中的一个剪影。在吴立文医生团队的刀尖之上,我们看到的不仅是技术的精妙,更是医者对生命的敬畏与温情。吴立文副主任常说:“孩子们是祖国的未来,守护他们的健康,就是守护我们的希望。”这份信念,将始终指引着哈医大四院松北院区骨科团队在医学高峰上不断攀登。