当72岁的李大娘(化名)被确诊为结肠癌伴肺转移时,患者和家属一度陷入绝望。然而,在哈医大四院普外科一病房(胃结直肠外科)启动MDT多学科会诊团队的精准治疗下,经过半年系统化靶向联合化疗治疗,肺转移灶奇迹般消失,原发肿瘤成功切除。
绝境中的转机
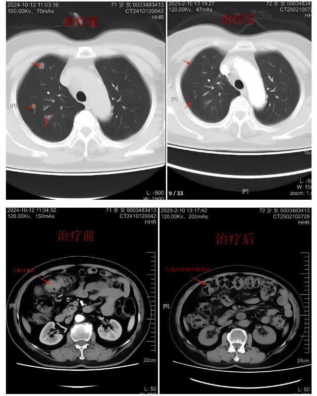
半年前,李大娘因腹痛、便秘就诊,肠镜确诊结肠肝曲恶性肿瘤,PET-CT更提示双肺多发转移。面对肠癌晚期转移的残酷诊断,哈医大四院普外一科(胃结直肠外科)迅速启动MDT多学科会诊。结直肠外科陈洪生教授团队及肿瘤内科团队结合基因检测结果,制定出"以XELOX方案为基础的化疗+贝伐珠单抗靶向药物"的联合治疗方案。治疗过程中,团队通过循环肿瘤DNA动态监测,实时调整药物组合,两个月后第一次复查显示肺部多发转移病灶明显缩小。

精准医学创造可能
经过四个疗程的靶向+化疗治疗,在第2次评估时,影像报告让所有人振奋——双肺转移灶完全消失,原发肠癌病灶明显缩小,肿瘤指标趋近于平衡。抓住治疗窗口期,陈洪生教授团队为患者实施腹腔镜右半结肠癌根治术,膜解剖理念下D3清扫,精准切除病灶及周围淋巴结,术后病理分期pT2N1M0,肿瘤已缩小到直径不足1cm,周围淋巴结转移1/32。围手术期贯彻ERAS理念,个体化管理,早期离床活动、恢复胃肠道功能,患者术后1周顺利康复出院,择期来院继续进行术后的辅助抗肿瘤治疗,我们有充足的信心,患者会有一个良好的预后。

多维护航抗癌之路
该案例的成功得益于三大核心优势:
分子诊断导航:基于NGS基因检测筛选出EGFR高表达靶点,精准匹配靶向药物
多模态治疗体系:化疗-靶向序贯治疗有效控制转移灶,为手术创造机会
加速康复外科:采用微创技术配合ERAS管理,将术后恢复时间缩短40%。
半年来的序贯治疗,无论对患者还是医生,都是一个严峻的考验,医生努力去做到规范有效的治疗,患者和家属也要对医生有足够的信任并坚持下来,所有努力都是值得的,一条生命得到了挽救,一个家庭的幸福得到了挽回。这一晚期肠癌患者的成功救治,不仅体现了普外一胃结直肠外科面对晚期肿瘤患者的诊疗能力,也体现着哈医大四院作为综合三级甲等医院的多学科协作MDT诊疗水平。

患者和家属在复诊时感慨地说:"从被判'死刑'到重获新生,我们切身感受到规范治疗的力量。"这个案例印证了晚期肿瘤并非绝对绝症,通过精准分型、系统治疗和多学科协作,完全可能实现临床治愈。我们呼吁广大患者:癌症治疗贵在早诊早治、规范就医,现代医学正在不断突破治疗边界,为更多患者点亮生命希望。
哈尔滨医科大学附属第四医院 普通外科一病房(胃结直肠外科)
健康咨询热线:0451-85276685

陈洪生教授提醒广大患者:保持健康的生活方式,控制饮食,以及定期体检,是预防和发现早期胃肠道疾病的有效手段。有消化道不适症状,如上腹不适及疼痛;恶心、呕吐;出血、黑便;乏力、消瘦等都可能是胃肠道疾病表现,需要引起重视。疾病的预防优于治疗,当疾病已然发生,早发现、早诊断、早治疗,治疗的痛苦和费用都会大大减少;当疾病进展或晚期,比如胃肠道恶性肿瘤,也不要轻易放弃生活的希望,现在医疗技术的飞速发展,为恶性肿瘤的治疗提供了诸多有效手段,包括化疗、靶向治疗、免疫治疗、介入治疗等,形成以手术治疗为主的综合治疗,许多我们从前无能为力的疾病,逐渐迎来了新的曙光。
哈医大四院胃、结直肠外科(普外一科)在胃、结直肠肿瘤的治疗中积累了丰富的经验,底蕴深厚。无论面对多发病还是罕见病,都有着充分的诊断和治疗经验,能够熟练开展胃、结直肠恶性肿瘤的机器人、腹腔镜标准化切除和淋巴结清扫,我院普外科在胃结直肠肿瘤的外科治疗方面从不缺乏迎难而上,勇攀巅峰的精神。
专家简介

哈医大四院普外科一病房主任
普外科党支部书记
主任医师 教授 医学博士
博士研究生导师
出诊时间:
线下每周一出诊
学术兼职:
中国医药教育协会腹部肿瘤专业委员会常委
中国抗癌协会大肠癌专业委员会委员
中国医师协会肛肠外科分会青年委员
中国医师协会结直肠肿瘤专业委员会青年委员
中国医师协会结直肠肿瘤专业委员会NOSES委员会委员
中国NOSES联盟黑龙江分会副理事长
黑龙江省医学会肛肠外科分会主任委员
黑龙江省抗癌协会大肠癌专业委员会副主任委员
黑龙江省医师协会肛肠外科分会副主任委员
黑龙江省医促会结直肠肿瘤专业委员会副主任委员
黑龙江省医学会普通外科分会委员
黑龙江省医学会机器人与人工智能分会委员黑龙江省医学会甲状腺肿瘤专业委员会委员
黑龙江省医学会甲状腺外科分会委员
黑龙江省抗癌协会头颈肿瘤专业委员会委员
黑龙江省医疗保健国际交流促进会甲状腺甲状旁腺疾病分会委员
专业擅长:
从事普外科疾病的诊断及治疗工作20余年,擅长胃癌、大肠癌、乳腺癌及甲状腺癌的根治手术及综合治疗。腹腔镜微创手术治疗胃、结直肠恶性肿瘤、甲状腺良恶性肿瘤、胆囊结石、胆囊炎、腹股沟疝、切口疝、造口旁疝。在省内较早开展达·芬奇机器人普外科手术。先后获得中国抗癌协会科技奖三等奖1项,黑龙江省政府科技进步奖二等奖3项。主持黑龙江省自然科学基金面上项目1项。腹腔镜右半结肠癌根治术荣获2019年黑龙江省医学会结直肠分会手术视频大赛第一名;荧光腹腔镜右半结肠癌根治术荣获2019年中华结直肠电子杂志手术视频大赛金刀奖(第一名);TAPP手术荣获2019年中华疝和腹壁外科在线教育学院腹腔镜疝修补手术视频大赛全国总决赛十强优胜奖;腹腔镜乙状结肠癌NOSES手术荣获2020国际NOSES经典手术视频大赛北中国赛区银奖,进入全国12强;腹腔镜双镜联合结肠癌NOSESIV式手术荣获2023国际NOSES经典手术视频大赛东北赛区一等奖。
第一作者及通讯作者发表SCI收录论文6篇,副主编参编卫生部视听教材一部,参编2018版《中国恶性肿瘤营养治疗通路专家共识》,参编2020版《中国结直肠癌筛查与早诊早治指南》,参编2024版人卫出版社《结直肠肿瘤学》,参编《中国抗癌协会结直肠肛管癌CACA指南》,参编十四五普通高等教育本科规划教材《肛肠外科学》。