哈医大四院耳鼻咽喉头颈外科开展水下灌流模式新技术
2025年02月19日 15:45 | 来源:中新网黑龙江
中新网黑龙江新闻2月19日电(刘璐)哈医大四院耳鼻咽喉头颈外科周彬主任及蔡勋功副主任耳科团队采用双镜联合技术,成功为一位特殊的中耳胆脂瘤患者实施右耳开放式乳突根治术。
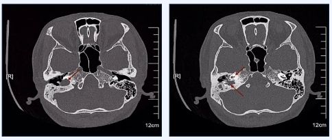
一周前,自幼右耳失聪的白雪(化名)找到了周彬主任,讲述7年前开始受到右耳反复流脓的困扰,有时还有耳鸣,3年前出现眩晕症状,而近1个月以来,眩晕更是发作了3次,每次持续3-4小时。周彬主任在门诊初步检查后,诊断为右侧中耳胆脂瘤,将其迅速收入院,并进行了全面的检查。这一看可真吓人,白雪的病情比预估的更加严重,中耳CT显示白雪的中耳胆脂瘤不仅长得大,关键是位置太特殊,正常大部分胆脂瘤们于迷路的外侧,而白雪的胆脂瘤主体位于耳蜗后内侧及面神经垂直段的内侧,导致面神经骨管和耳蜗的底转破坏严重,内下方与颈总动脉之间已没有骨性间隔。幸运的是,目前白雪还没有出现面瘫的症状,但是如果不及时手术治疗,后果将不堪设想!

周彬主任带领耳科团队,决定采取最新引入的耳内镜持续灌流模式新技术,联合显微镜辅助进行手术。为了彻底清除中耳病灶,周彬主任先使用显微镜从乳突入路处理乳突和鼓窦病变,再用耳内镜从乳突进入越过面神经垂直段充分显露耳蜗底的巨大中耳脂胆脂瘤,在持续灌流模式下,持续高清的手术视野精准定位,逐步剥离胆脂瘤囊壁,直至彻底清除胆脂瘤病灶。手术过程中,发现白雪的面神经垂直段裸露严重,耳蜗底亦被纤维增生组织封闭,术后面瘫和眩晕是本次手术最容易出现的并发症,术前也对此种情况和家属做了重点沟通。

白雪全麻清醒送回病房后,周彬主任和蔡勋功副主任第一时间来到病房,家属特别高兴地说:“周主任,我爱人眼睛能闭上,脸也不歪!”查体过后,白雪没有面瘫、眩晕症状,手术效果比预计更加成功,全体耳科团队成员也松了一口气。其实胆脂瘤并非真的肿瘤,而是一种囊性结构,可以破外周围骨壁,引起严重的颅内外并发症,是非常值得重视的疾病。胆脂瘤分为先天性和后天性两大类,先天性胆脂瘤患者多因出现面瘫症状才来医院就诊。

周彬主任介绍说,白雪病情严重,术前没有面瘫是幸运的,术后无面瘫、眩晕等不适症状,除开手术过程中对重要结构的小心保护,应用持续灌流模式新技术也是很重要的一点。持续灌流模式解决了耳内镜手术中对面神经和内耳的热损伤,术中可以始终保持高清手术视野,避免受到术腔温度、血液等影响造成镜头模糊,反复擦拭镜头,提高了手术的流畅性和安全性。再者,持续灌流模式为耳内镜手术提供了“第三只手”,既可以将少量血液冲出保持操作区域清醒,也可以起到代替吸引器的作用,解决了耳内镜手术单手操作的难题,提高了手术的操作效率。除此之外,持续灌流模式下磨骨也更加简单便捷,持续的流水将骨粉冲出,提高了磨骨效率。新技术优势多,还具有普适性。临床实践证明,持续灌流模式可以适用于目前所能开展的所有耳内镜手术,包括外耳道胆脂瘤、慢性中耳炎的鼓室成形术、中耳胆脂瘤、鼓室硬化等。
白雪的故事只是众多成功案例的一个,哈医大四院耳鼻咽喉头颈外科致力于引进和应用最新的医疗技术,水下灌流模式新技术的引入,代表医院在耳显微外科手术领域又迈上了一个新台阶,更好地为患者的健康保驾护航!